我校第二医院完成全球首例新式一体式主动脉弓覆膜支架系统临床入组
稿件来源:第二医院 发布时间:2023-07-08 点击次数:

近日,由我校第二医院特聘教授、华盛顿大学医学院教授张玮与唯强医疗共同研发的ZIPPER™ 一体式主动脉弓覆膜支架系统在我校第二医院顺利完成全球首例患者临床入组。本次手术在张玮教授、符伟国教授、董红霖教授及其带领的我校第二医院血管外科团队(闫盛、常文凯、田琴琴)的共同努力下完成。术后各位专家对于ZIPPER™ 一体式主动脉弓覆膜支架系统治疗主动脉弓部病变的效果给予了高度的评价。随后,中心又先后入组了第二与第三例患者,完成全球前三例该新款支架的临床项目入组。
首例患者是一位55岁的女性,她患有高血压约2年时间,平时也会规律服用多种降压药,但血压控制始终不尽人意。2023年4月下午,她出现不明原因的头痛,在家拔罐缓解少许便未到医院就医,次日凌晨突感胸闷、胸背疼痛伴有呼吸困难等症状、家人急忙拨打了120,把患者送入医院急诊科进行救治,医生在急诊科行胸腹主动脉CTA时,显示主动脉弓部-降主动脉及腹主动脉壁间血肿,遂收治入医院血管外科,患者入院10天后复查血肿仍未有改善,依然伴有胸背部疼痛等不适,如不进一步处理,可能发展为夹层危及生命,患者及家属经过与医生团队了解沟通,决定进行创伤小、恢复快的介入手术治疗。张玮教授、符伟国教授、董红霖教授及其血管外科团队(闫盛、常文凯、田琴琴)共同商讨手术方案,最终确定使用Zipper™一体式主动脉弓覆膜支架系统,行胸主动脉覆膜支架腔内隔绝术+无名动脉、左颈总动脉、左锁骨下动脉分支重建术为患者进行治疗。董红霖教授及其血管外科团队根据患者术前头颅CT平扫提示双侧侧脑室旁缺血灶,血压控制不稳定,属夹层壁间血肿非典型夹层等风险点,制定了完整的手术方案,术中经股动脉置入Zipper支架主体,经预留导丝超选无名动脉,并确保主体支架对位准确,顺利置入左颈总动脉、左锁骨下动脉支架,重建弓上三分支。手术过程非常顺利。术后观察主动脉及分支覆膜支架定位准确;无内漏;分支支架通畅,动脉供血正常。


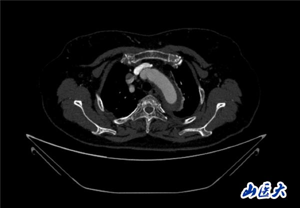
术前CTA

术中造影结果


术后效果
张玮教授表示,主动脉弓部病变的腔内治疗一直备受关注,近年来国内外已涌现出诸多优秀的器械在这一领域展示出了优异的临床治疗效果。ZIPPER™支架的诞生基于希望设计一款安全性能高、操作简便、且能适应多种弓部血管病变及不同解剖结构的产品。我们希望通过更多的临床数据来验证该产品的安全性和有效性。
董红霖教授作为我校第二医院临床试验中心负责人,带领中心团队承担多项国家级多中心临床试验项目。同时,董红霖教授作为血管外科学术带头人,带领的血管外科团队坚实的人才梯队建设和过硬的专业技术支撑,也是促成本次Zipper支架全球前三例病例纳入试验项目并顺利完成手术的关键因素。
张玮教授,MD, FACS, DFSVS,前国际血管外科学会副主席,华盛顿大学医学院教授。现任美国Annals of Vascular Surgery;《血管外科年鉴》共同主编; 《血管外科年鉴:创新报道》杂志总辑编;美国血管外科学会杰出会员。
符伟国教授,博士生导师,现任复旦大学附属中山医院血管外科主任,复旦大学血管外科研究所所长。国家放射与治疗临床医学研究中心副主任;上海市医学会血管外科专科分会前任主任委员;上海市医师协会血管外科医师分会会长;海峡两岸医药卫生交流协会血管外科学分会会长;中华医学会外科学分会血管外科学组副组长;中国医师协会血管外科医师分会副会长;中国医师协会腔内血管学专业委员会;主动脉夹层专家委员会主任委员;中国医师协会腔内血管学专业委员会副主任委员;中国医师协会老年学分会血管外科专业委员会副主任委员;中国医师协会介入医师分会大血管介入专业委员会副主任委员;中国医疗保健国际交流促进会血管外科专业委员会副主任委员;中华医学杂志英文版、中华外科杂志;中国实用外科杂志等编委。
董红霖教授,医学博士,博士后。我校第二医院副院长,血管外科教授、博士生导师,博士后导师;第四军医大学外科学博士;美国路易斯安那州立大学博士后,英国剑桥大学Addenbrook医院高级访问学者;山西省血管外科学科带头人;中国医师协会血管外科分会常委;中国微循环学会外周血管疾病分会门静脉高压学组副组长;中国中西医结合学会颈动脉疾病学组副组长;中国医师协会腔内血管分会血透通路学组副组长;山西省医师协会血管外科专委会主任委员;山西省卫生健康委血管外科质控中心主任委员;山西省血栓与肺栓塞专科联盟理事长;山西省医学会血管外科专委会副主任委员;山西省百千万高端领军人才;中华血管外科杂志编委;血管与腔内血管外科杂志编委等。
(图文/田琴琴)


















